
Este extraño fenómeno ha ocurrido en Barranquilla, Colombia, y los expertos estiman que ocurre en uno de cada 500.000 nacimientos.
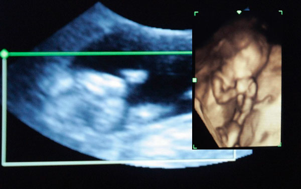
El extraño caso de gemelos semi-idénticos que sobrevivieron cuando eran “típicamente incompatibles con la vida” ultrasonido Una ecografía mostró que Itzamara estaba creando un feto en su abdomen.
Mónica Vega tenía siete meses de embarazo cuando el médico vio algo extraño en su ecografía.

Aunque las imágenes mostraban dos cordones umbilicales, Mónica no estaba embarazada de gemelos o gemelos.
Era su propio bebé, Itzamara, quien estaba creando un f3to en su abdomen.
El cirujano Miguel Parra descubrió este segundo organismo y explicó a Rádio Caracol que este fenómeno se llama f4to en el f4to.

Esto significa que un gemelo se desarrolla en su hermano, no en el útero de la madre.
Los embarazos gemelares se generan a partir de un solo cigoto formado por un solo óvulo y un espermatozoide.
Cuando esta estructura se divide después de dos semanas, se forman los gemelos siameses, fenómeno que ocurre en 1 de cada 200.000 embarazos.
En el caso de Mónica, se dividió la celda de la que nacerían sus hijas después del 17.

“Este es uno de los casos más extraños que vemos en la medicina materno-f4tal”, dijo el Dr. Parra.
“Las células que producirían los dos gemelos no se dividieron en el momento adecuado, por lo que una podría desarrollarse mientras que la otra se quedó en su hermano pequeño”.
Según el médico, el gemelo grande (en este caso Itzamara) provoca el desarrollo de nutrientes y oxígeno a través del cordón umbilical y la placenta.
Pero el gemelo “parásito” recibe comida de su hermana: no tiene placenta, por lo que su hermano debe darle su propio oxígeno y nutrientes.
El Dr. Parra explica que este gemelo es un ácaro: no tiene cerebro ni corazón, y para bombear su sangre usa el corazón de su hermano.
“Si la niña no hubiera sido diagnosticada a tiempo, podría haber crecido durante varios años con este feto parásito que crecía dentro del abdomen”, dice el médico.
Normalmente, este raro fenómeno se detecta después del nacimiento, por lo que el caso de Itzamara es una de las pocas veces que se ha detectado de forma prenatal.
“Es como tener un gran parásito. Pero una cosa es tener una lombriz de tierra y otra tener una estructura que succione tu comida, tu comida y eso no te da ningún beneficio.